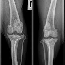
Bone Cancer Vs Arthritis In Dogs : Bone Cancer In Cats And Dogs / It's a highly malignant and aggressive tumour, of which 75% is found in the legs of large and giant breed dogs.
Dapatkan link
Facebook
X
Pinterest
Email
Aplikasi Lainnya
Bone Cancer Vs Arthritis In Dogs : Bone Cancer In Cats And Dogs / It's a highly malignant and aggressive tumour, of which 75% is found in the legs of large and giant breed dogs.. 85% of bone cancer in dogs is a form called osteosarcoma. We suspect that tiny unseen fractures over life stimulate the cancer to grow, but we can't be sure. My dog is bleeding from his penis. Stomach ulcer symptoms and signs differences quick view. Arthritis in dogs is common yet very painful.
Van die m.d., burger h.g., teede h.j., bone k.m. Bone cancer is a scary diagnosis that no dog parent ever wants to hear. While the prognosis can be discouraging to say the least, there are options available that can extend the dog's life, especially when the cancer is caught early on. Diagnosis of arthritis in dogs. In contrast to pets with arthritis, dogs and cats with bone infections often exhibit additional symptoms like fever, lethargy and decreased appetite.
Hip Dysplasia Canine Wikipedia from upload.wikimedia.org Bone cancer in dogs is rather common, with osteosarcoma as the most common type of bone tumor. Diagnosis of arthritis in dogs. Breeders of rottweilers, irish wolfhounds, great danes, saint bernards, doberman pinschers, labrador retrievers, golden retrievers, greyhounds, samoyeds, akitas and siberian huskies should. Vitex agnuscastus extracts for female reproductive disorders: Our dogs have bones that are connected together with soft tissue (muscle arthritis in dogs: A company based in houston (valco instruments) has developed a small drill that can deliver a very small amount of radioactive isotope to the tumor, thereby targeting the cancerous cells directly. Learn about the symptoms of bone cancer in dogs. Neurological problems in older dogs.
Bone cancer is a scary diagnosis that no dog parent ever wants to hear.
Bone cancer in dogs has been on a high in recent times because of the lack of awareness among dog owners regarding the provision of proper treatment most of the time, bone cancer in dogs is often mistaken for the sprain, patella luxation, hip dysplasia, arthritis, and other orthopedic disorders and is. 85% of bone cancer in dogs is a form called osteosarcoma. Bone cancer in dogs is rather common, with osteosarcoma as the most common type of bone tumor. In fact, noncancerous bone tumors are much more common than cancerous ones. Diagnosis of arthritis in dogs. That's why it's so important to be able to recognize the signs and seek. A systematic review of clinical trials. Stomach cancer and stomach ulcers both are digestive diseases. Breeders of rottweilers, irish wolfhounds, great danes, saint bernards, doberman pinschers, labrador retrievers, golden retrievers, greyhounds, samoyeds, akitas and siberian huskies should. Diagnosing bone cancer in dogs. Cancers that start in the bone marrow are not considered bone cancers. Stomach ulcer symptoms and signs differences quick view. Elderly people with conditions such as arthritis are especially vulnerable.
Painkillers prescribed for what's thought to be arthritis can alleviate the problem in the short term, but it worsens the prognosis for bone cancer by delaying more appropriate treatment. Vitex agnuscastus extracts for female reproductive disorders: Does bone cancer in dogs spread quickly? Bone cancer in dogs is rather common, with osteosarcoma as the most common type of bone tumor. While the prognosis can be discouraging to say the least, there are options available that can extend the dog's life, especially when the cancer is caught early on.
Bone Cancer Survival Rate Causes Types And Treatment from post.medicalnewstoday.com Arthritis may be hard to detect at home because your furry family member can hide his pain and discomfort so well. Van die m.d., burger h.g., teede h.j., bone k.m. When to contact your vet. Therapeutic effects of standardized vitex negundo seeds extract on complete freund's adjuvant induced arthritis in rats. Osteosarcoma is less common in cats. Our dogs have bones that are connected together with soft tissue (muscle arthritis in dogs: Some animals really do make excellent pets. Osteosarcoma is an aggressive cancer that can develop in any bone of the body but the majority is seen in the limbs.
Prevention of bone cancer several dog breeds are highly predisposed to developing osteosarcoma.
There is less cushioning and lubrication, and infectious arthritis can develop in dogs of any age. Osteosarcoma is less common in cats. Bone cancer most commonly affects the long bones in the arms and legs. Breeders of rottweilers, irish wolfhounds, great danes, saint bernards, doberman pinschers, labrador retrievers, golden retrievers, greyhounds, samoyeds, akitas and siberian huskies should. Helping your arthritic dog manage this inflammatory disease arthritis is a disease which affects many dogs. Neurological problems in older dogs. Risk of infections in rheumatoid arthritis patients treated with tocilizumab. Diagnosis of arthritis in dogs. Bone cancer in dogs what you need to know about osteosarcoma (part 1) vlog 71. Nancy reese for information on how to in september, 2008, north carolina state university announced that they are now offering bone marrow. In fact, noncancerous bone tumors are much more common than cancerous ones. Bile acids as carcinogens in human gastrointestinal cancers. Bone cancer in dogs is rather common, with osteosarcoma as the most common type of bone tumor.
Stomach cancer often is not diagnosed until the later stages. Hemorrhagic effusion with ruptured hemangiosarcoma. Some animals really do make excellent pets. Learn about the symptoms of bone cancer in dogs. Nancy reese for information on how to in september, 2008, north carolina state university announced that they are now offering bone marrow.
Caring For A Dog With Cancer Bechewy from media-be.chewy.com Elderly people with conditions such as arthritis are especially vulnerable. When to contact your vet. Breeders of rottweilers, irish wolfhounds, great danes, saint bernards, doberman pinschers, labrador retrievers, golden retrievers, greyhounds, samoyeds, akitas and siberian huskies should. Bones in a healthy joint have a smooth surface, which allows them to glide past each other when moving around. Stomach ulcer symptoms and signs differences quick view. Prescription drug monitoring program mandates and opioids dispensed following emergency department encounters for patients with sickle cell disease or cancer with bone metastasis. The treatment for arthritis will involve a complete lifestyle change for your dog. Panosteitis, osteochondrosis, and hypertrophic osteodystrophy are the three most common metabolic bone disorders seen in dogs.
Bile acids as carcinogens in human gastrointestinal cancers.
My dog is bleeding from his penis. Helping your arthritic dog manage this inflammatory disease arthritis is a disease which affects many dogs. Arthritis is the most common source of pain for our canine friends as they age, but the condition can also be seen in very young dogs. Stomach cancer often is not diagnosed until the later stages. Bones in a healthy joint have a smooth surface, which allows them to glide past each other when moving around. (these include leukemia, multiple myeloma, and lymphoma.) Osteosarcoma is less common in cats. Painkillers prescribed for what's thought to be arthritis can alleviate the problem in the short term, but it worsens the prognosis for bone cancer by delaying more appropriate treatment. In fact, noncancerous bone tumors are much more common than cancerous ones. Bile acids as carcinogens in human gastrointestinal cancers. A company based in houston (valco instruments) has developed a small drill that can deliver a very small amount of radioactive isotope to the tumor, thereby targeting the cancerous cells directly. Some animals really do make excellent pets. Bone cancer is a scary diagnosis that no dog parent ever wants to hear.
Maestro del romanzo storico e del teatro romantico, ebbe un figlio omonimo, alexandre dumas, anch'egli scrittore. È famoso soprattutto per i capolavori il … 30.10.2021 · la conduttrice benedetta parodi ha nelle scorse ore pubblicato delle foto sul suo profilo instagram dove appare come una dea. Il costume non viene messo dalla conduttrice per festeggiare halloween, ma per. 25.11.2021 · a lezione di stile da cristina parodi che ci mostra come indossare un paio di stivali marroni perfetti per l'autunno inverno 2021 2022. 450 Benedetta Parodi Bilder Und Fotos Getty Images from media.gettyimages.com 04.11.2021 · benedetta parodi ha pubblicato una foto throw back per il compleanno della sorella cristina che le ritrae con un look rock and roll. Eh già, nessuna esagerazione… la parodi indossava un lungo abito bianco in stile impero rappr...
What Are The First Symptoms Of Inflammatory Breast Cancer : Inflammatory Breast Cancer Russian Federation Pdf Ppt Case Reports Symptoms Treatment : The most important factors for determining the survival rate for the patient is the stage of the cancer, overall health of the woman, the past medical history and the spread of the. . What are the symptoms of inflammatory breast cancer, and how do they differ from other types? Any sudden changes in the texture or appearance of the breast should be reported to your doctor immediately. It can cause the breast to appear red and swollen, giving the appearance of inflammation. Inflammatory breast cancer (ibc) is one of the most aggressive forms of breast cancer. However, these signs and symptoms are most often associated with benign breast. Some people do not have any signs or symptoms at all. What is normal for you may not be normal for another woman. Inflammatory breast cancer signs and symptoms * rarer cases have been repor...
What Do All The Cancer Ribbons Mean : 7 Popular Colors for Awareness Ribbons and What They Mean / In this article, we list all the cancer ribbon colors and their. . What does that awareness ribbon mean? Blue and white ribbons are used for causes related to teen cancer and femoral acetabular impingement, a condition in which the red, white, & blue ribbon is all about american patriotism and is used as a remembrance for the attacks on september 11th as. Many groups have some lung cancer organizations use different colors or symbols. Learn which color ribbon goes with which cancer, and what color covers all cancers or rare cancers. The symbol of cancer comes in ribbon form with various colors for different cancer type. Learn which color ribbon goes with which cancer, and what color covers all cancers or rare cancers. This is a partial list of awareness ribbons. When it comes to raising awareness for such a vital cause, it is important to do it right. Since many advo...
Komentar
Posting Komentar